Communication conçue et proposée par IMV Technologies

Mesurer l’épaisseur du lard dorsal : quel échographe polyvalent me faut-il ?

Mesurer l’épaisseur du lard dorsal : quel échographe polyvalent me faut-il ?

Le contrôle de l’épaisseur du lard dorsal est une méthode utilisée pour suivre avec précision l’état corporel des truies gestantes. Connaître cet indicateur permet aux éleveurs de piloter les ajustements à apporter. Quel type d’échographe utiliser ? On l’ignore trop souvent, mais la plupart des appareils « mode B » utilisés dans le diagnostic des gestations permettent aussi de visualiser les couches de gras.

La réussite technico-économique d’un élevage porcin est conditionné au maintien de l’état corporel optimal des truies. De ce critère dépendent les performances de reproduction : trop maigres à la mise-bas, les truies voient leurs capacités de sevrage diminuer. Elles puisent excessivement dans leurs réserves,  compromettant ainsi les portées futures. A l’inverse, les truies trop grasses rencontrent davantage de complications à la mise bas, des problèmes d’appétit, d’aplombs et d’infections urinaires.

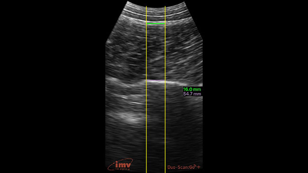
Comment suivre avec précision cet indicateur ? L’épaisseur de lard dorsal (ELD) mesuré à hauteur de la dernière côte flottante (site P2) est un critère très pertinent pour en juger. La démocratisation des échographes portables a depuis quelques années permis de réaliser cette mesure en routine et de manière automatique. Pour peu que la sonde soit placée de manière adéquate, cette technique est à la fois non invasive, rapide et très fiable.

Les échographes mode B permettent aussi le contrôle de l’ELD

Pour suivre au plus juste l’évolution de l’ELD au cours du cycle de reproduction de la truie, on conseille de réaliser plusieurs mesures : avant l’entrée en maternité et en fin de sevrage pour les truies, et lors de la première insémination des cochettes. Ce constat permet d’évaluer le potentiel de fertilité et la longévité des animaux dans le troupeau. Deux contrôles supplémentaires à 21 et 42 jours valideront ou non que l’état des truies reste homogène, et qu’il ne s’installe pas de compétition alimentaire au sein du groupe. Le suivi de cet indicateur permet de décider la mise en place de rations individuelles ou la constitution de lots sur la base du niveau des besoins alimentaires.

Quel matériel choisir ? Assez peu onéreux, les échographes mode A à ultrasons et sans image permettent facilement d’apprécier l’ELD. Mais si comme beaucoup d’éleveurs vous êtes déjà équipé d’échographes mode B avec image pour le suivi des gestations, ce type d’appareil devrait vous permettre (selon la marque) d’assurer aussi le suivi de l’état corporel de vos truies. Une publication Ifip-IMV-imaging issue des Journées de la recherche porcine de 2019 a confirmé la possibilité de mesurer l‘ELD avec certains de ces échographes, dont la polyvalence peut être mise à profit pour suivre à la fois l’état corporel de ses truies et leur gestation.

Duo-Scan:Go, l’échographe à sonde convexe qui fait gagner en précision

Selon l’Ifip, ce type d’échographe serait encore trop souvent sous-utilisés par les éleveurs qui n’en exploiteraient pas suffisamment toutes les fonctions. L’image échographique des appareils mode B permet par exemple de visualiser de manière très fiable les couches de gras. Le Duo-Scan:Go, développé par IMV-Imaging, est même équipé d’une sonde convexe électronique pour gagner encore en précision. Sensiblement plus cher à l’achat que d’autres mais plus fiable, les appareils de la marque IMV-Imaging incluent également un support client à la mise en route et durant toute la durée de vie du produit.

Source : Livre blanc « L’échographie en élevage porcin, un outil polyvalent à ne pas sous-estimer », un document IMV Imaging à télécharger en intégralité et gratuitement.

IMV Technologies
Cette communication est gérée par la régie publicitaire du groupe NGPA. La rédaction de Web-agri n’a pas été consultée et n’a pas participé à sa réalisation.
Réagir à cet article

Tapez un ou plusieurs mots-clés...